ひとりひとり違う症例に
適切な装置で
きちんとキレイな歯並びへ
マウスピース矯正
インビザライン
総額1,045,000円(税込)
120回払いの場合・初回20,162円
ブラケット矯正
総額880,000円(税込)
120回払いの場合・初回14,944円
矯正装置及び治療費とは別に、別途以下の費用がかかります。
検査・診断料 33,550円
調整料 4,400円
部分矯正のご案内
ご希望と症例に応じて部分矯正も行っております。
症例によって費用と方法が異なります。
詳細はご相談ください。

当院の
矯正カウンセリング
ご自身やお子様の気になるお口もとや歯並びについて、口腔内や歯並びの現状、どれくらいの
治療が必要になるのか、費用や期間についておおまかに把握していただくための
矯正カウンセリングを行っております。
お気軽にご相談ください。
ご予約はこちら
お電話の受付は診療時間内の対応となります。
診療時間9:00 ~ 13:00 / 14:00 ~ 18:00休診日木・日・祝
- ※水曜日は診療開始時間が9:30~となります。
休診日木・日・祝
このような疑問にお答えします
当院の矯正治療が
選ばれる5つの理由
-

認定歯科学会認定医と
矯正臨床研修指導医が在籍グリーン歯科クリニック倉敷おとなこども歯科・矯正歯科には、日本矯正歯科学会認定医と臨床指導医が在籍しており、キレイな歯並びをつくることはもちろん、お口の健康と機能を高める正しい噛み合わせを確立します。
豊富な知識・経験を活かし、患者様一人ひとりに最適な矯正治療をご提案いたします。 -

患者様に寄り添う
カウンセリング口元のお悩みはデリケートな話題だからこそ、患者様に寄り添った丁寧なカウンセリングを心掛けています。歯並びのお悩みや矯正治療の疑問、どのようなことでもご相談ください。
治療への理解を深め、当院の雰囲気を確認いただいたうえで、矯正治療をご検討いただけます。 -

デジタル技術を駆使した
快適で精度の高い治療当院は、デジタル技術を駆使した精度の高い治療に努めています。光学口腔内スキャナー「iTero®」で3D歯型データを取得し、シミュレーションを行ったうえで、綿密な治療計画を立案します。どのような歯並びになるのか、治療前に3D画像で確認することも可能です。
-

分割払いOK
明瞭な料金システム当院の矯正治療費は「矯正装置+治療費」。診断料、調整費用を区分けし明瞭会計となるよう努めております。
費用をネックに口腔内の美と健康を諦めてほしくないから、一度の負担を軽くする矯正治療費の分割払いにも対応しています。 -

症例とご希望に合う
適切な装置をご案内症状によって適した装置は異なり、ブラケット矯正が適したケースもあれば、装置の併用が適しているケースもあります。当院では、患者様のご希望を伺い、症状に合った最適な装置をご提案します。また、納得のいく治療選択ができるようサポートいたしますので、ご不明点はお気軽にご相談ください。
どのような歯並びで
お悩みですか?
不正咬合の種類
上の前歯が前に出ている歯並びです。口が閉じにくくなることから虫歯リスクが高まる原因にもなります。
上よりも下の前歯が前に出ている反対咬合は、食事のしにくさや滑舌の悪さにつながります。頬杖や口呼吸などで発症・悪化します。
出ている
上下の歯が前に出ていため、意識しないと口を閉じられない場合が多く、口内が乾きやすく虫歯・歯周病のリスクが高まります。
ずれている
正中ズレは、悪い歯並びだけでなく顎や噛み合わせのズレによって引き起こされます。放置すると顎に負荷がかかったり肩こりが起きやすくなったりします。
ガタガタ
叢生は、歯が重なったり斜めに生えたりすることで起きます。八重歯もこの一種で、歯磨きしづらいために虫歯などのリスクが高まる歯並びです。
下の歯が隠れる
過蓋咬合は、下の歯が隠れるほどに上の前歯が被さってしまう歯並びです。前の歯茎を傷つけたり顎関節症になりやすくなるといった問題があります。
くっつかない
前歯が噛み合わないため、食事がしにくく食べ物を噛み切れません。また、噛む刺激がないため、前歯を支える骨が吸収されやすい状態になります。
隙間から空気が漏れるため、滑舌が悪く、特にサ行やタ行の発音に影響があります。また、歯間に食べ物が詰まりやすいため、虫歯リスクが高まります。
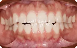
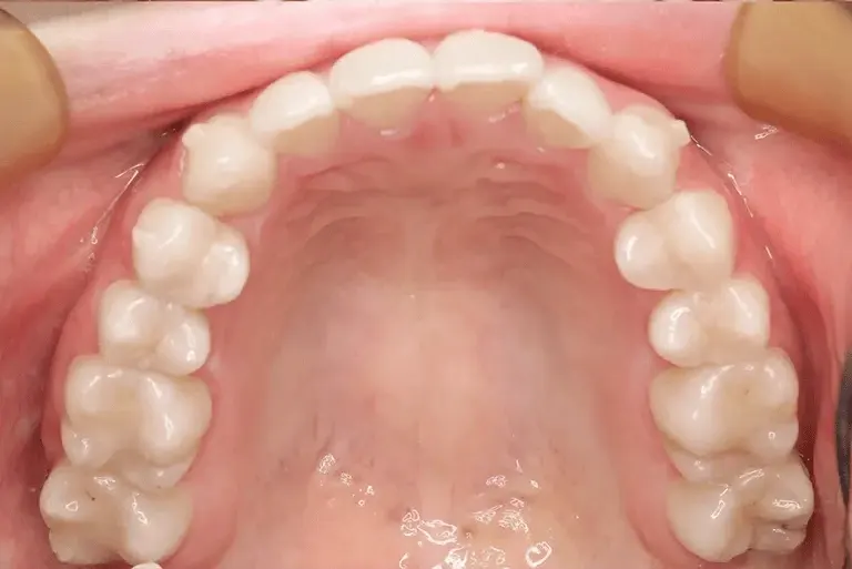
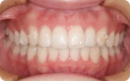
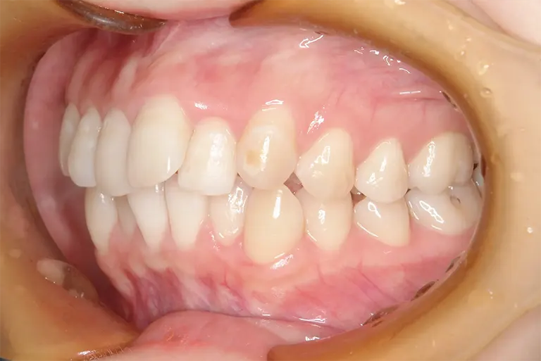
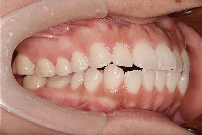
実際の矯正治療症例
インビザラインによる全体矯正
Before
After
Before
After
Before
After
Before
After
Before
After
来院期間、マウスピースの装着時間、顎間ゴムの装着をきちんと守ってくださり、治療計画通りにすすめることができました。
前歯の重なりもきれいにできて、患者さんに満足していただきました。
インビザラインによる全体矯正
(抜歯なし)
Before
After
Before
After
Before
After
Before
After
Before
After
(抜歯なし)
受診期間及びマウスピース装着時間をきちんと守っていただくことで、治療計画通りにすすめることができました。
当初の治療期間通り、2年以内に治療を終えることができました。
歯列も歯肉ラインもきれいに整いました。
カウンセリングから矯正完了まで
矯正治療の流れ
マウスピース矯正の場合
-


矯正カウンセリング予約
お電話またはご予約専用のWEBフォームから、希望日時を選択のうえ、矯正カウンセリングをお申し込みください。
-


矯正カウンセリング
歯並びのお悩みやマウスピース矯正治療のご相談・ご質問にお答えします。ご不明点を明確にしたうえで、治療についてご検討ください。
カウンセリングの所要時間は30分程度を予定しております。 -


精密検査
精密検査を行ったうえで、患者様に適した治療法をご提案します。大まかな治療期間や費用についてもご案内します。
- 口腔内検査
- レントゲン撮影
- 口腔内3Dスキャナーでの歯型採得
-


診断
精密検査の結果をもとに診断し、最終的な治療プランをご提案します。治療を開始される場合はマウスピースを発注します。
最適な治療を行っていただくため、歯並びの状態によってはマルチブラケットとの併用あるいはマルチブラケットのみの治療をご提案する場合がございます。
-


治療開始
発注したマウスピースが届いたら、いよいよ矯正治療のスタートです。マウスピースは、約2週間で患者様ご自身に新しいものへと交換していただきます。マウスピースの装着や日々のお手入れについては、初回お渡し時に丁寧にご説明いたします。
-


定期チェック
月1回のペースでご来院いただき、治療計画通りに歯が動いているか確認し、新しいマウスピースをお渡しします。病気の有無やお口の清掃状況等をチェックし、メインテナンスも行います。
-


治療終了・保定期間へ
計画通りに歯が移動したら、治療は完了です。その後は、後戻りを防ぎ、キレイな歯並びを定着させるための保定期間へ移行します。保定期間は、取り外しできるリテーナーをご装着いただきます。