グリーン歯科クリニック倉敷 おとなこども歯科・矯正歯科

ホーム > ホワイトニング

当院のホワイトニングの
種類・費用

歯の色は人により異なるものですが、白く美しい歯に憧れる方はやはり多いでしょう。
ホワイトニングとは、さまざまな原因により着色してしまった歯を白く明るくする治療法です。ここでは、当院で行っているホワイトニングについて詳しく解説します。

当院はホワイトエッセンス加盟店です

そもそも歯の着色汚れの
原因って?

歯の着色の主な原因

歯の着色汚れの原因として挙げられるのが、赤ワインやコーヒー、紅茶などの濃い色素を含む飲料や、ソース焼きそばやカレーライスなどの食品、タバコのヤニなどです。これらが歯の表面に沈着することで、歯が黄ばんで見えてしまうのです。

その他の理由としては遺伝や加齢によるものもあり、歯ブラシによるブラッシングなど、セルフケアでは落とすのが困難なケースも少なくありません。

ホワイトニングの
メカニズム

象牙質とエナメル質(歯の構造)

歯の表面には、カルシウムやリン酸で構成されたエナメル質という組織があります。ホワイトニング剤に含まれる過酸化尿素と過酸化水素には、エナメル質を傷めずに色素を分解する働きがあり、歯を白くすることができるのです。

また、エナメル質の下に存在する象牙質は、本来黄色がかった見た目をしており、これが透けて歯が黄ばんで見えることがあります。過酸化尿素と過酸化水素には、歯の表面組織を曇りガラスのように変化させる作用があるため、これによって黄ばみを目立たせず歯を白く見せる効果が得られます。

当院で行っている
ホワイトニング

ホワイトニングの種類は様々ですが、大きく分類すると以下の3つに分けられます。

ホームホワイトニング

ホームホワイトニング

ホームホワイトニングとは、患者様がご自宅で行うホワイトニング方法です。歯科医院で製作したマウスピースの中にホワイトニング剤を入れ、毎日一定の時間(数十分~数時間)装着します。
一般的な治療期間は2~8週間程度です。

メリット デメリット
  • 理想の白さになるまで続けられる
  • 歯への負担が比較的軽い
  • 歯の色が後戻りしにくい
  • 歯科医院へ通院せずに済む
  • 歯が白くなるまでに時間を要する
  • 準備などに手間がかかる

オフィスホワイトニング

オフィスホワイトニング

患者様がご自宅で行うホームホワイトニングに対し、歯科医院で行うホワイトニングをオフィスホワイトニングと言います。
高濃度のホワイトニング剤を用いた上で、レーザーを当てることにより薬剤の効果を高めた方法で、ホームホワイトニングよりも短期間で済みます。

メリット デメリット
  • 短期間で歯を白くすることができる
  • 自分で準備する手間が省ける
  • 1回で理想の白さにならないことがある
  • ホームホワイトニングよりも費用がかかる
  • 歯の色の後戻りが起こりやすい

デュアルホワイトニング

デュアルホワイトニング

ホームホワイトニングとオフィスホワイトニングを組み合わせて行う方法です。短期間で歯が白くなるうえ効果も長続きするという、それぞれのホワイトニングの良いとこどりをしています。

生活習慣に左右されますが、1年~2年ほど効果が持続します。

メリット デメリット
  • 短期間で歯が白くなる
  • 歯の色が後戻りしにくい
  • 自然な白さになる
  • 単体のホワイトニング
    よりも費用がかかる
  • 比較的知覚過敏が
    起こりやすい

ホワイトニングに
おける注意点

ホワイトニングには何点か注意すべき点があります。処置を受ける前に、注意点を確認し把握しましょう。

無カタラーゼ症の方

無カタラーゼ症は、身体の中のカタラーゼが不足することにより、過酸化水素が分解できなくなる疾患です。無カタラーゼ症の方はホワイトニング剤に含まれる過酸化水素を分解できず、薬剤を体内に蓄積してしまいます。進行性口腔壊死などの重篤な状態を招く恐れがあることから、無カタラーゼ症の方にはホワイトニングは行えません。

妊娠中・授乳中の方

妊娠中または授乳中のホワイトニングによる母体や胎児への影響は、現在のところはっきりと解明されていません。そのため、ホワイトニングは安全性を考慮して控えるのが望ましいでしょう。

その他、口腔内外にトラブルのある方は、治療前に医師へご相談ください。

ホワイトニングの症例

当院で扱ったホワイトニングの症例を
ご紹介します。

症例1

ホワイトニング症例1

ホワイトニング後、オールセラミックを入れた症例です。

症例2

ホワイトニング症例2

ホワイトニングをした後、メタルボンドとセラミックインレーをいれた症例です。

症例3

ホワイトニング症例3

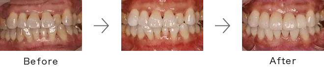
前歯をホワイトニングし、オールセラミックを入れた症例です。下顎の前歯は矯正を行いました。

症例4

ホワイトニング症例4

ホームホワイトニングで歯を白くし、オールセラミックとラミネートベニアで歯の形を整えました。

ホワイトニングはグリーン歯科クリニック倉敷
おとなこども歯科・矯正歯科へ

歯の黄ばみや黒ずみが気になる方は、ホワイトニング治療をご検討ください。ご自宅でできるホームワイトニング、歯科医院にて行うオフィスホワイトニングなどのホワイトニング治療をご提供するだけでなく、ホームホワイトニングで使用する薬剤も販売しております。
岡山県倉敷市や、その周辺地域でホワイトニングをご希望する方は、ぜひグリーン歯科クリニック倉敷 おとなこども歯科・矯正歯科へお越しください。

関連診療項目

お知らせ

  •   2026.03.27
    【ゴールデンウィーク 休診のお知らせ】

    4月29日(水)、および 5月3日(日) ~ 5月7日(木) は休診いたします。
    患者様にはご不便をおかけいたしますが、何卒ご理解のほどお願い申し上げます。

  •   2026.01.26
    【休診のお知らせ】

    1月27日(火)は午後休診となります。
    何卒よろしくお願い申し上げます。

  •   2025.11.12
    【年末年始 休診のお知らせ】

    下記の期間を年末年始の休診とさせていただきます。
    患者様にはご不便をおかけいたしますが、何卒ご理解とご協力をお願い申し上げます。
    休診期間:2025年12月28日(日)~2026年1月4日(日)
    ※新年は1月5日(月)より通常通り診療いたします。

  •   2025.07.29
    【夏季休診のお知らせ】

    誠に勝手ながら、下記の期間を夏季休診とさせていただきます。
    休診期間:8月10日(日)~8月15日(金)
    ご不便をおかけいたしますが、何卒ご了承くださいますようお願いいたします。

  •   2025.06.13
    【休診のお知らせ】

    7月4日(金)午前は休診となります。
    ご迷惑をお掛けいたしますが、何卒よろしくお願いいたします。

  •   2025.05.02
    【GWのお知らせ】

    5月3日(土)~6日(火)が休診となっております。
    ご迷惑をお掛けいたしますが、何卒よろしくお願いいたします。

  •   2025.01.24
    【6月からの診療時間変更について】

    6月より診療時間が以下の通り変更となります。
    お間違いの無いようお願い致します。

    ・第4水曜日は9:30~診療を開始に変更
    ・第4金曜日の午後診療の開始時間が14:00~に変更
    (第1・第2金曜日はこれまで通り14:30~)

  •   2025.01.24
    【1/31午後 臨時休診のお知らせ】

    平素よりご来院いただき、誠にありがとうございます。
    1月31日(金)の午後診療につきまして、院内勉強会のため臨時休診とさせていただきます。
    急なお知らせでご不便をおかけいたしますが、ご理解いただきますよう何卒よろしくお願いいたします。

  •   2024.12.13
    【年末年始休診のお知らせ】

    2024年12月29日(日)~1月3日(金)まで年末年始のお休みとさせていただきます。
    年内の診療は12月28日(土)までになりますので、ご了承ください。
    新年は1月4日(土)より通常通り診療を行いますので、どうぞよろしくお願いいたします。

  •   2024.09.06
    【午後の診療開始時間の変更】

    平素より当クリニックをご利用頂き、誠にありがとうございます。 診療時間に変更がございますので、下記の通りお知らせいたします。

    第1・第2・第4金曜日
    午後診療開始時間が14:30~となります。

    変更により、ご不便をおかけしますことをお詫び申し上げます。

  •   2024.07.08
    【採用情報掲載中です】

    歯科医師・歯科衛生士の採用情報を掲載しました。詳しくはこちら

  •   2024.05.22
    【8/10~8/18 お盆休みのお知らせ】

    いつもグリーン歯科クリニックにご来院いただき、誠にありがとうございます。
    下記の期間をお盆休みとさせていただきます。

    休診:8/10(土)~8/18(日)

    お盆休みに合わせて院内の改修工事を行うため休診が長くなり、大変ご不便をおかけいたしますが、ご理解いただきますよう何卒よろしくお願いいたします。

  •   2024.05.09
    【5/10午後 臨時休診のお知らせ】

    平素よりご来院いただき、誠にありがとうございます。
    5月10日(金)の午後診療につきまして、臨時休診とさせていただきます。
    急なお知らせでご不便をおかけいたしますが、ご理解いただきますよう何卒よろしくお願いいたします。

  •   2024.05.02
    【休診日変更のお知らせ】

    いつもグリーン歯科クリニックにご来院いただき、誠にありがとうございます。
    令和6年5月16日(木)より、木曜日も休診となります。
    皆さまにはご迷惑をおかけいたしますが、より良い診療をご提供するためであり、どうぞご理解のほどよろしくお願いいたします。
    旧 休診日:日曜・祝日

    新 休診日:木曜・日曜・祝日

  •   2024.04.24
    【休診案内】

    平素よりご来院いただきありがとうございます。
    5月3日(金)~6日(月)は休診とさせていただきます。
    ご不便をお掛けいたしますが、ご理解ご容赦を賜りますようお願い申し上げます。

  •   2024.02.09
    【2/15午後 臨時休診のお知らせ】

    平素よりご来院いただきありがとうございます。
    2月15日(木)の午後診療につきまして、臨時休診とさせていただきます。
    ご不便をお掛けいたしますが、ご理解ご容赦を賜りますようお願い申し上げます。

  •   2024.01.17
    【休診日変更のお知らせ】

    平素よりご来院いただき、ありがとうございます。
    2024年5月より、新たに木曜日が休診日に変更となります。
    ご不便をおかけいたしますがご了承ください。

  •   2023.11.14
    【年末年始の休診お知らせ】

    2023年12月28日(木)~2024年1月3日(水)を年末年始のお休みとさせていただきます。
    新年は1月4日(木)より通常通りの診療を行います。
    何卒よろしくお願いいたします。

  •   2023.09.26
  •   2023.08.07
    【お盆の休診のお知らせ】

    2023年8月11日(金)~15日(火)は、お盆休みとさせていただきます。ご不便をお掛けいたしますが、何卒よろしくお願いいたします。

  •   2023.07.18
    【臨時休診のお知らせ】

    7月20日(木)の午後の診療は臨時休診とさせていただきます。
    ご迷惑をおかけいたしますが、何卒ご理解とご容赦を賜りますようお願い申し上げます。

  •   2023.02.09
    【予約ページの不具合につきまして】

    患者様各位
    当WEB予約ページからの予約が2月7日~9日の期間、サーバープログラムが原因で送信できない状況がございました。
    ご利用いただいたお客様には大変ご迷惑おかけした事をお詫び申し上げます。

  •   2022.12.01
    【Pick up】

    こども矯正特設サイトを公開しました。

  •   2022.11.21
    【年末年始の休診のお知らせ】

    2022年12月29日(木)~2023年1月3日(火)は、
    年末年始のお休みとさせていただきます。
    なお、12月28日(水)の診療は9時~13時までとなります。
    新年は1月4日(水)より、通常通りの診療を行います。
    ご迷惑をおかけいたしますが、何卒よろしくお願いいたします。

  •   2022.09.06
    【臨時休診のお知らせ】

    院内研修の為、以下の日程を臨時休診とさせていただきます。
    10月7日(金) 14:00〜18:00
    10月12日(水) 14:00〜18:00
    ご迷惑をお掛け致しますが、何卒よろしくお願いいたします。

  •   2022.07.01
    【夏季休診のお知らせ】

    8月11日(木)〜15日(月)は夏期休診とさせていただきます。
    大変ご迷惑をお掛け致しますが、ご理解のほどよろしくお願い致します。8月16日(火)より平常通り診療致します。

  •   2022.06.06
    【臨時休診のお知らせ】

    以下の日程を臨時休診とさせていただきます。
    7月7日(木) 9:00~14:00
    7月21日(木) 14:00〜18:00
    8月9日(火) 終日休診
    ご迷惑をお掛け致しますが、何卒よろしくお願いいたします。

  •   2022.04.18
    【Pick up】

    グリーン新聞『就寝中の歯ぎしり』を掲載しました。

  •   2022.03.28
    【臨時休診のお知らせ】

    4月4日(月) 14:00〜18:00は、臨時休診とさせていただきます。
    ご迷惑をお掛け致しますが、何卒よろしくお願いいたします。

  •   2021.12.09
    【年末年始の休診のお知らせ】

    2021年12月29日(水)~2022年1月3日(月)は、年末年始のお休みとさせていただきます。
    また、12月20日(月)は大掃除のため、診療は9時~13時までとなります。
    ご迷惑をお掛け致しますが、何卒よろしくお願いいたします。

  •   2021.10.14
    【Pick up】

    グリーン新聞『予防歯科QA編を掲載しました。

  •   2021.07.14
    【Pick up】

    グリーン新聞『唾液編』 を掲載しました。

  •   2021.06.15
    【休診のお知らせ】

    6月21日(月)の午後(14時~)は休診とさせていただきます。
    ご迷惑をお掛け致しますが、何卒よろしくお願いいたします。

  •   2021.06.15
    【お盆休診のお知らせ】

    8月12日~15日は休診とさせていただきます。
    ご迷惑をお掛け致しますが、何卒よろしくお願いいたします。

  •   2021.06.09
    【Pick up】

    グリーン新聞『受診控え編』 を掲載しました。

  •   2021.04.16
    【Pick up】

    グリーン新聞『ホームホワイトニング編』 を掲載しました。

  •   2021.03.01
    【Pick up】

    グリーン新聞『矯正治療編』 を掲載しました。

  •   2020.12.18
    【休診のお知らせ】

    12月21日(月)の午後は休診させていただきます。
    ご迷惑をお掛け致しますが、何卒よろしくお願いいたします。

  •   2020.12.08
    【年末年始の休診のお知らせ】

    2020年12月29日(火)~2021年1月3日(日)は、年末年始のお休みとさせていただきます。ご迷惑をお掛け致しますが、何卒よろしくお願いいたします。

  •   2020.08.04
    【夏季休診のお知らせ】

    8月13日(木)~8月16日(日)は夏期休診とさせていただきます。大変ご迷惑をお掛け致しますが、ご理解のほどよろしくお願い致します。8月17日(月)より平常通り診療致します。

  •   2020.08.03
    【予約日お知らせハガキ 廃止のお知らせ】

    2020年8月1日以降に来院された方の次回の予約日のご案内は、メール配信のみとさせて頂きます。ハガキでのご案内は、終了とさせて頂くことになりましたので、何卒お願い申し上げます。
    今後、メールでの予約の事前案内をご希望の方は、お早めにメールアドレスのご登録をお願い致します。

    現在すでにメールアドレスをご登録済みの方は、再登録の必要はございません。

  •   2020.07.30
    【Pick up】

    グリーン新聞『金属アレルギー編』 を掲載しました。

  •   2020.06.05
    【Pick up】

    グリーン新聞『メインテナンス編』 を掲載しました。

  •   2020.06.05
    【Pick up】

    グリーン新聞『誤嚥性肺炎』 を掲載しました。

  •   2019.12.23
    【年末年始の休診のお知らせ】

    12月28日(土)~1月3日(金)まで休診、4日(土)から通常診療とさせていただきます。

  •   2019.07.03
    【夏季休診のお知らせ】

    8月11日(日)~8月15日(木)まで休診とさせていただきます。

  •   2019.07.03
    【休診のお知らせ】

    7月18日(木)の午後は休診とさせていただきます。

  •   2019.04.04
    【GW休診のお知らせ】

    4月28日(日)~5月6日(月)まで休診とさせていただきます。